Arthritis Center of Connecticut   Waterbury Professional Center, 171 Grandview Ave Suite 101, Waterbury, CT 06708   203-755-0948

Arthritis Center Arthritis Center Arthritis Center Arthritis Center Arthritis Center Arthritis Center Arthritis Center
Home » Current Treatments » Orthopaedic Treatment of the Knee

Orthopaedic Treatment of the Knee

Knee

Knee arthritis is a progressive condition in which the cartilage in the knee wears away.  This allows the underlying bones to come into contact, causing pain, swelling, heat, and deformity.  There are several forms of arthritis of the knee because there are three separate compartments that can wear out. Arthritis can involve the patellofemoral joint (between the kneecap and the thigh-bone), the medial tibiofemoral joint (the inside of the knee), the lateral tibiofemoral joint, or any combination.

Arthritis of the knee should first be treated conservatively with anti-inflammatory medications, physical therapy, injections of steroids, injections of hyaluronic acid (Synvisc™, Hyalgan™, Supartz™), or arthroscopic surgery.  Traditional surgery, known as total knee replacement (TKR) replaces all three compartments of the knee.  The latest techniques allow selective replacement of each specific compartment.  This is called uni-compartmental replacement.  Another technique is MIS (minimally invasive surgery) a technique for decreasing post-operative pain and speeding recovery time.

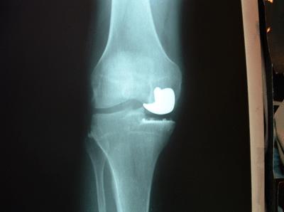
knee
Uni-compartmental knee replacement. Only the medial compartment has been replaced

Knee Arthroscopy/ACL Repair

Knee arthroscopy is a very common and minimally invasive outpatient procedure.  It can be used for the injured non-arthritic knee or for the conservative treatment of the arthritic knee. 

Arthroscopy is a one-day out-patient procedure performed under local anesthesia with micro-incisions. 

The arthroscopy patient generally uses crutches for two to three days after surgery and returns to non-impact work in short order.  Small, self-contained, articular (joint surface) cartilage defects can be repaired by this technique. When there is more extensive damage to the joint surface, total joint replacement surgery or uni-compartmental surgery may be more appropriate.

Knee Replacement Surgery

knee

TKR is very successful in patients with severely arthritic knees who have not responded well to conservative (non-operative) or arthroscopic surgical treatment.  The patient enters the hospital on the morning of surgery after a thorough examination has confirmed fitness for surgery.  The operative side is verified and the anesthesiologist performs another evaluation. The damaged areas are removed and the prosthetic knee parts, made of titanium and plastic, are carefully fit for size and positioned according to the patient’s anatomy.  Holes are drilled and the parts are cemented into place or press-fit, which is a newer technique.

Total Knee Replacement

The surgery itself, which takes approximately one hour, is done under spinal anesthesia and sedation unless there are contra-indications. This surgery utilizes the MIS technique which allows for quick recovery of range of motion.

The patient then goes to the recovery room until the anesthesia wears off.  The patient is walking and performing strengthening exercises by the next day.  TKR normally requires two to four days in the hospital.  Walking aids (canes) and physical therapy are required for six to eight weeks.  Possible complications, which are rare, include bleeding, infection, stiffness, wound healing problems, wear, or blood clots.  TKR is a very successful procedure with a high degree of patient satisfaction.

171 Grandview Ave Suite 101, Waterbury, CT 06708     Phone: 203-755-0948     Fax: 203-575-1320     info@arthritiscenter.com